ADA Accessibility Information
Accessibility

A
A

A
Mission Hills Periodontics in San Diego, CA
Mission Hills Periodontics


Home Cosmetic Dentistry Tori Removal

Tori Removal


A smiling female patient interacting with her dentist, who is holding a tablet to explain her tori removal procedure.At Mission Hills Periodontics in San Diego, Dr. Stephen Munroe and his team provide advanced periodontal care with a focus on both health and comfort. One procedure that patients may not be familiar with is tori removal, which can be necessary when excess bone growth inside the mouth causes discomfort or interferes with oral function. While not always harmful, tori can create challenges for speaking, chewing, and receiving certain dental treatments. Understanding what tori are, when removal is recommended, and what to expect from the process can help patients feel more confident about seeking care. With expert guidance and modern techniques, patients can achieve both relief and improved oral health.

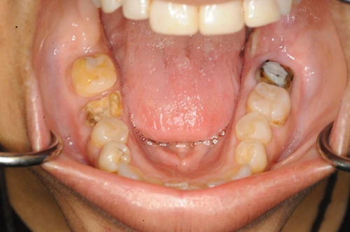
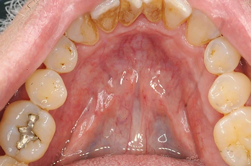
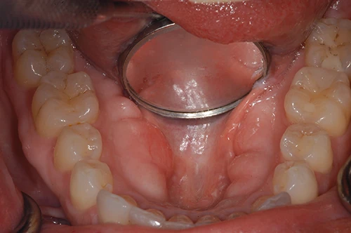
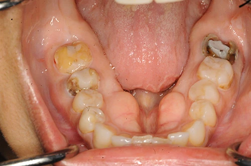
What Are Tori?


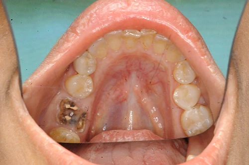
Tori are harmless bony growths that develop inside the mouth, most commonly along the lower jaw near the tongue (mandibular tori) or on the roof of the mouth (palatal tori). These growths are made of dense bone and typically develop gradually over time. Some people have small tori that go unnoticed, while others may develop larger or multiple growths. The exact cause of tori is not fully understood, but factors such as genetics, teeth grinding (bruxism), and repeated stress on the jawbone are believed to play a role. They can occur at any age, though they are more commonly seen in adults. While tori are not cancerous and generally do not pose a direct health threat, they can sometimes interfere with normal oral function and may require professional evaluation by a periodontist like Dr. Stephen Munroe in San Diego.

Are Tori Dangerous?


In most cases, tori are completely benign and do not indicate any underlying disease. However, the presence of tori can sometimes create problems depending on their size and location in the mouth. For example, large tori can make it difficult to properly fit dentures, nightguards, or other dental appliances. Tori can also cause irritation if food particles become trapped around them, or if they are frequently bitten or rubbed by the tongue. In addition, palatal tori may cause difficulties with speech, and mandibular tori can make it harder to clean certain areas of the mouth effectively. This can increase the risk of gum irritation or infection in surrounding tissues. Although tori themselves are not harmful, the complications they can contribute to make professional evaluation important. If you are experiencing discomfort, difficulties with dental appliances, or recurring irritation in the mouth, Dr. Stephen Munroe and our team at Mission Hills Periodontics can determine whether tori removal is the right solution for you.

Do Tori Need to Be Removed?


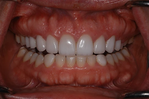
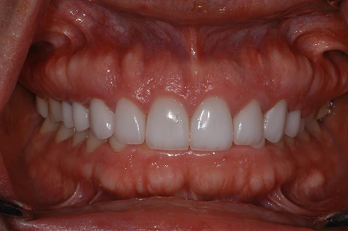
Not all tori require treatment. If they are small, painless, and not interfering with your daily life, they can often be left alone and monitored during routine dental visits. Many patients live comfortably with tori without ever needing surgery. However, when tori begin to interfere with oral health, comfort, or the ability to receive dental restorations, removal of them may be recommended. At Mission Hills Periodontics, we carefully evaluate each case to determine whether removal will benefit the patient's overall oral health and function. One consideration that can be overlooked is that the tori can make the teeth look shorter than they actually are because the extra bulk of gum and bone tissue changes the way the teeth are framed. Tori can also create hard-to-reach areas where plaque and food debris accumulate, making it more difficult to keep the teeth and gums clean with regular brushing and flossing. Over time, this can increase the risk of gum irritation, inflammation, and decay. Fortunately, treatment can reshape or remove the tori, helping teeth appear their natural length again and making oral hygiene much easier and more effective.

Signs Tori Should Be Removed


There are several situations in which tori removal may be advised:
•  Frequent irritation or trauma to the growths
•  Difficulty speaking or chewing due to large tori
•  Problems with fitting dentures, partials, or oral appliances
•  Recurring inflammation or trapped food around the tori
•  Interference with planned dental procedures, such as implants or orthodontics

If you are experiencing any of these issues, scheduling a consultation with Dr. Stephen Munroe can help determine the best treatment plan for your needs.

Tori Removal Process


Tori removal is a surgical procedure designed to carefully eliminate the excess bone and restore comfort and function. The process begins with a thorough examination, which may include digital imaging to evaluate the size and location of the growths. Dr. Stephen Munroe will then develop a personalized treatment plan, explaining what to expect before, during, and after the procedure. During the surgery, local anesthesia is typically used to ensure patient comfort. In some cases, sedation may also be provided for patients who feel anxious. The gum tissue covering the tori is gently lifted to expose the underlying bone. Specialized instruments are then used to reduce or remove the bony growths, after which the gum tissue is repositioned and sutured. The tori removal procedure is performed with precision to minimize trauma to the surrounding tissues. Depending on the number and size of the tori, the surgery may take one to two hours. Most patients are able to return home the same day, with detailed aftercare instructions provided by Dr. Stephen Munroe and our team.

Recovery After Tori Removal


Healing after tori removal is generally straightforward. Mild swelling, soreness, or minor bruising may occur for a few days, but these symptoms can be managed with prescribed medications or over-the-counter pain relief. Patients are usually advised to follow a soft diet for a short period of time to avoid irritating the surgical sites. Cold compresses and keeping the head elevated while resting can also help reduce swelling during the initial days of healing. Good oral hygiene is essential during recovery, though care should be taken to avoid disturbing the area until initial healing has occurred. Most patients notice improvement within one to two weeks, with complete healing typically achieved in several weeks. Dr. Stephen Munroe will schedule follow-up visits at Mission Hills Periodontics in San Diego to monitor progress, provide additional guidance, and ensure that healing is progressing as expected.



Contact Us if You Are Considering Tori Removal


If you are experiencing discomfort, difficulties with dental appliances, or other challenges caused by tori, professional treatment may be the key to restoring comfort and function. At Mission Hills Periodontics, Dr. Stephen Munroe provides expert evaluation and care for patients considering tori removal in San Diego. Whether you are seeking relief from irritation, improved fit for dentures or appliances, or preparation for other dental procedures, our team is here to help. Contact Mission Hills Periodontics today at (619) 356-5989 to schedule your consultation and learn more about how tori removal can support your long-term oral health and comfort.



FAQs



What are tori and why do they form in the mouth?


Tori are benign bony growths that develop in the upper or lower jaw, often on the roof of the mouth or along the inside of the lower jaw. They may form due to genetics, teeth grinding, or other unknown factors. While typically harmless, they can interfere with dental appliances or oral hygiene.


When is tori removal necessary?


Tori removal is usually recommended when the growths interfere with speech, eating, oral hygiene, or the placement of dentures or other dental appliances. If tori become irritated or cause discomfort, removal may also be advised by our dental team at Mission Hills Periodontics.


What can I expect during a tori removal procedure?


Tori removal is a surgical procedure typically performed under local anesthesia or sedation. The excess bone is carefully removed, and the area is sutured to promote healing. The procedure is safe and effective when performed by an experienced periodontist.


How long is the recovery after tori removal?


Recovery time varies by individual, but most patients experience mild swelling and discomfort for a few days. Healing generally takes 1 to 2 weeks, and our dental team at Mission Hills Periodontics will provide thorough aftercare instructions to ensure a smooth recovery.


Are there any risks associated with tori removal?


As with any surgical procedure, tori removal carries minor risks such as bleeding, swelling, infection, or temporary numbness. However, complications are rare when the procedure is performed by a skilled dental professional.


Locations We Serve


Portland
Beaverton
Gresham
Oregon City
Tualatin
Happy Valley
Milwaukie
Hillsboro
Lake Oswego
Copyright © 2024-2026 Mission Hills Periodontics - Dr. Stephen Munroe and WEO Media - Dental Marketing (Touchpoint Communications LLC). All rights reserved.  Sitemap
Tori Removal San Diego CA
Expert torus removal at Mission Hills Periodontics in San Diego, CA. Safe, effective treatment to improve comfort and restore optimal oral health.
Mission Hills Periodontics - Dr. Stephen Munroe, 1000 West Washington St. Suite #1, San Diego, CA 92103 | (619) 356-5989 | missionhillsperiodontics.com | 2/18/2026 | Related Terms: periodontist San Diego |